Rehabilitación Digital de Alta Precisión: Transformando Coronas Metal-Cerámicas en Zirconia Multicapa
Caso clínico: Transición de coronas metal-cerámicas a zirconia multicapa. Descubre el flujo digital en Exocad, el uso de prototipos de resina y el fresado de alta precisión para rehabilitaciones complejas.

Transformando Coronas Metal-Cerámicas en Zirconia Multicapa
La odontología digital no solo optimiza los tiempos de consulta; es, ante todo, una herramienta de diagnóstico y resolución de problemas.
Este reporte documenta la rehabilitación de un paciente de 72 años, donde la transición de restauraciones metálicas desajustadas a cerámica integral no solo resolvió una patología clínica, sino que devolvió la confianza estética al paciente mediante un flujo de trabajo optimizado.

Presentación del Caso y Diagnóstico
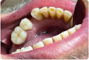
Paciente masculino de 72 años con una anatomía compleja debido a la ausencia de varias piezas dentales posteriores. El paciente presentaba coronas metálicas en los órganos dentarios 45 y 46 con filtración marginal, caries recidivante y una gingivitis localizada severa, producto del desajuste crónico de las restauraciones previas.
Complicaciones:
Presencia de caries recidivante y gingivitis severa causada por el filtrado marginal previo.
Estado de los pilares:
Tras la remoción, se observaron líneas de terminación poco visibles y una vía de inserción desfavorable debido a la retención en las preparaciones.
Plan de tratamiendo y estrategia digital
Debido al compromiso de la línea de terminación por la inflamación gingival, se optó por un protocolo de tres fases:
1. Captura Digital:
Uso del escáner intraoral para obtener una impresión óptica precisa de los preparados y las zonas edéntulas.

2. Validación (Prueba de resina):
Se solicitó una prueba de resina para asegurar el ajuste marginal exacto antes de proceder al fresado final en zirconia, garantizando que el tejido blando se mantuviera estable.

3. Seguimiento Periodontal:
Tres consultas de control para monitorear la salud de la encía en la zona de los premolares.


Planificación Digital y Desafíos en CAD (Exocad)
El diseño digital fue el paso más crítico del flujo. El equipo de diseño reportó dificultades significativas que requirieron una toma de decisiones técnica precisa:
Gestión del espacio:
Se realizó el diseño respetando el espacio del órgano dentario 44 (zona edéntula).
Riesgos Técnicos:
Se identificó riesgo de adaptación y posible fractura por la vía de inserción desfavorable. Para mitigar esto, se optó por una validación mediante prueba de resina para asegurar el sellado marginal antes del fresado definitivo.

Proceso Técnico y Materiales
La ejecución se centró en la máxima precisión que ofrece la tecnología de fresado en seco:
Material:
Zirconio multicapa AIDITE, valorado por su translucidez que mimetiza la estructura natural del diente y su equilibrio entre resistencia mecánica y transición de color natural.
Fresado:
Unidad XTCERA 500 plus. Su sistema de 5 ejes y precisión de 2 micras, se logró un detallado excepcional de los márgenes y la morfología oclusal.
Sinterizado y Acabado:
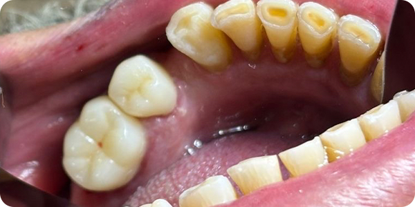
Tras el ciclo de cocción en un horno Cameo CSF-200L, las piezas pasaron por ajuste manual y un riguroso control de calidad, finalizando con un maquillaje personalizado para igualar el color.
Optimizando el Flujo Digital y la Gestión del Paciente
El uso del escáner fue una prueba de eficiencia. Al tratar con un paciente de 72 años con espacios edéntulos amplios, la captura de datos suele presentar saltos en el software por tanto este caso subraya la importancia de la educación continua en flujos digitales.
- Gestión de Expectativas: A pesar de los riesgos técnicos de fractura por inserción detectados en el CAD, la validación con prototipos de resina permitió ajustar los parámetros de fricción para un asentamiento pasivo.
- Soporte Futura: Siguiendo los consejos de flujo de trabajo de Futura, se aplicaron técnicas de escaneo específicas para zonas sin dientes, asegurando que el escáner no perdiera el "tracking" o seguimiento.
- Prototipado en resina: La lección más valiosa fue la confirmación de que, en encías comprometidas, la prueba de resina es el "seguro de vida" de la restauración final.
Resultado Clínico y Conclusión
La combinación de una planificación meticulosa, materiales de alta calidad como la zirconia AIDITE y el soporte educativo de nuevas tecnologías, permitió transformar una situación de desajuste en una rehabilitación funcional y estética. La cementación final demostró que la precisión digital puede compensar preparaciones clínicas subóptimas. La respuesta gingival tras las consultas de seguimiento fue positiva, logrando un sellado hermético.
Más allá de los indicadores técnicos de éxito, la verdadera validación del flujo digital se refleja en la percepción del paciente. Al finalizar la colocación de sus nuevas coronas, el paciente de 72 años manifestó su satisfacción con el proceso. Este comentario subraya que la tecnología, cuando se aplica con criterio clínico, no solo mejora los márgenes, sino que mejora radicalmente la experiencia y confianza del paciente en el tratamiento.



Sobre la doctora
La Dra. Gisela Dagmar Aguilar Kleimann es ortodoncista con más de 10 años de experiencia en práctica dental privada. Se ha especializado en la implementación de la odontología digital y en el uso de escáneres intraorales, área en la que capacita a colegas y equipos dentales. Su interés por la innovación tecnológica la ha llevado a combinar su práctica clínica con la enseñanza, participando en cursos y talleres orientados a optimizar los flujos de trabajo digitales en odontología.


Aumenta tus tratamientos, simplifica procesos, reduce tiempos, disminuye retrabajos y ofrece una mejor experiencia con Futura
Solicitar demo- Perfecciona diagnósticos y tratamientos
- Brinda comodidad y conveniencia a través de tecnología avanzada
- Agiliza los procesos y reduce tareas manuales
- Haz seguimiento más preciso y personalizado de los tratamientos



.jpg)



